바르다정치과는 치아의 색, 모양, 크기, 배열 등을 개선하는데 그치지 않고
자연스럽고 아름다운 미소를 만드는 것까지
목표로 합니다.
그렇게 함으로써 치아의 건강뿐만 아니라 환자의 자아 존중감과
자신감을 높일 수 있도록 더욱 더 노력합니다.
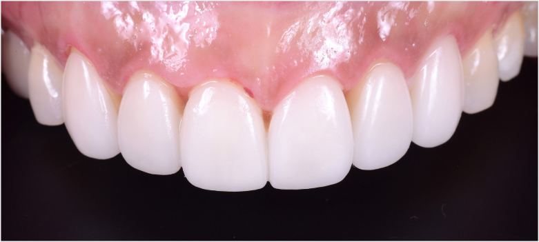
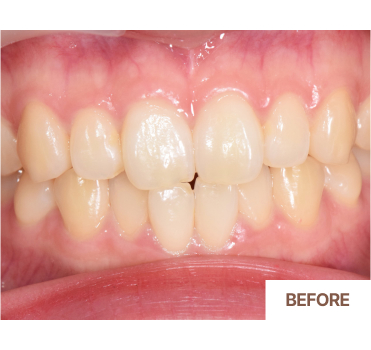
올세라믹이란 치아의 모든 면을 일정하게 삭제하여 세라믹 인공치 아로 완전히 씌우는 치아성형입니다. 치아교정으로 해결되지 않는 치아 자체의 문제를 해경하여 가지런하고 밝은 치아로 만들어드리는 치료입니다.

치아미백은 고농도 치아미백 약제와 특수광선을 통해 치아에 손상을 주지 않고 치아를 밝고 윤기나게 하는 시술로 변색되거나 색소된 치아를 원래의 색으로 회복시켜주는 치료 방법입니다.
바르다정치과는 특수광선미백장비와 '트리니티화이트' 미백제를 사용하여 치아미백의 효과부터 남다릅니다!
레진은 여러가지 이유로 인해 손상된 치아의 한 부분을 수복하는 재료의 일종으로 치아 우식 부위의 삭제량을 적게 하여 치질의 보존과 심미적, 기능적으로 우수한 치료 방법입니다. 문제의 부위만 국한하여 시술이 가능합니다.
BARDAJUNG SPECIAL
각 치아의 상태를 정확히 판단, 진단하여 최적의 맞춤 치료방법을 제시하며 치아 삭제량을 최소화하고 개별 레이어드테크닉을 통해 자연스러움을 회복하는데 초점을 맞춥니다
바르다정치과는 검증된 최신 장비와 재료를 적극적으로 사용하여 환자분에게 정확한 진단을 통한 최적화된 치료 솔루션을 제공합니다. MTA 치수 복조제, 큐레이펜, 트리오스5 구강스캐너, 3D CT등을 구비/활용하여 최적의 치료결과를 위해 항상 노력하고 있습니다